Lymphocytic Leukemias


Lymphoid neoplasia is the most common form of hematopoeitic neoplasia in domestic animals. Lymphoid neoplasia can be categorized as lymphosarcomas (neoplastic lymphocytes from solid tumors in extramedullary tissue) or leukemias (neoplastic lymphocytes circulate in bone marrow and peripheral blood).
Lymphocytic leukemias can be categorized as acute (neoplastic cells are immature lymphoblasts with abnormal morphology), chronic (neoplastic cells are differentiated mature lymphocytes with normal morphology), or leukemia secondary to lymphoma (neoplastic cells from lymphoma tumors circulate in peripheral blood and may infiltrate bone marrow – it can be difficult to determine the origin of the neoplasia if solid tumors and lymphocytic leukemia are identified simultaneously).
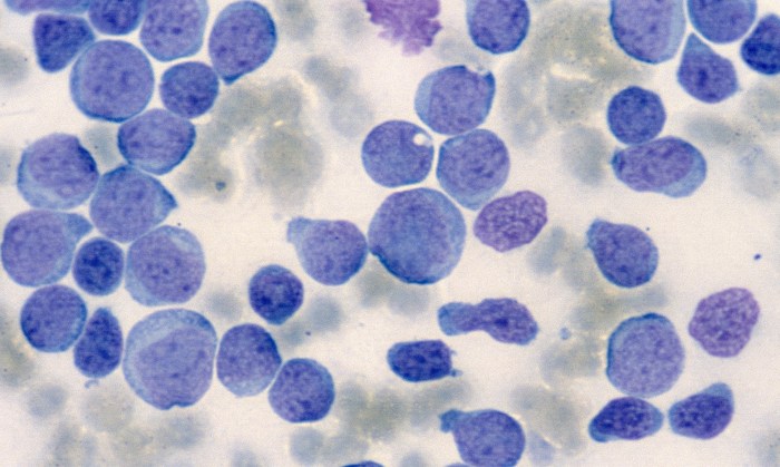
Acute lymphocytic/lymphoblastic leukemia (ALL): markedly increased numbers of immature lymphoblasts on blood smear (lymphocytosis usually greater than 150 x 109/L). Lymphoblasts are large cells with prominent nucleoli and dark blue cytoplasm, and often rupture due to fragility (basket cells or smudge cells).
Chronic lymphocytic leukemia (CLL): increased numbers of small mature lymphocytes with normal morphology on blood smear. CLL may look identical to non-neoplastic lymphocytosis on visual evaluation (non-neoplastic causes of lymphocytosis must be ruled out).
Large granular lymphocytic leukemia (LGL): rare form of leukemia secondary to lymphoma. Primary tumors (large granular lymphosarcoma) usually arise in the abdominal cavity (spleen, liver, GI tract, lymph nodes). Secondary leukemia may develop with increased granular lymphocytes on blood smears.
Neoplastic lymphocytes (particularly lymphoblasts in acute leukemias) must be differentiated from reactive lymphocytes based on cell morphology, clinical signs, and associated features on blood smears and bloodwork. In general, reactive lymphocytes are a heterogenous population with variable size, nuclear shape, and cytoplasmic features while neoplastic lymphocytes tend to be a homogenous population sharing similar (though often abnormal) morphology.
