Reactive Lymphocytes

React Lymphocytes 1 (Canine 1) ARROWS
Reactive lymphocyte with dark blue cytoplasm, pleomorphic nucleus, and perinuclear clear zone. Canine.

Morphology: reactive lymphocytes have a heterogenous appearance with  variable size, nuclear shape, and amount and color of cytoplasm. Compared to non-reactive lymphocytes, reactive lymphocytes are usually larger with darker blue cytoplasm, darker staining (often pleomorphic) nuclei with no visible nucleoli, perinuclear clear zones, and cytoplasmic vacuoles.

Look alike: nucleated red blood cells, lymphoblasts (lymphocytic leukemia)

Clinical relevance: reactive lymphocytes in peripheral blood indicate response to antigenic stimulation (bacterial, viral, rickettsial infection or vaccination).

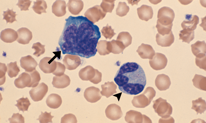
React Lymphocytes 6 (Bovine 1) ARROWS
Reactive lymphocyte with dark blue cytoplasm and pleomorphic nucleus. Bovine.
React Lymphocytes 2 (Canine 2) ARROWS
Reactive lymphocyte (arrow) with indented nucleus, dark blue cytoplasm, and perinuclear clear zone. Eosinophil (arrowhead – top). Neutrophil (arrowhead – bottom). Canine.
React Lymphocytes 3 (Canine 3) ARROWS
Reactive lymphocyte (arrow) with dark blue cytoplasm, indented nucleus, and three pale-staining cytoplasmic inclusions (Russell bodies). Erythrocytes with Howell-Jolly bodies (arrowheads). Canine.
React Lymphocytes 4 (Canine 4) ARROWS
Reactive lymphocyte (arrow) with dark blue cytoplasm, pleomorphic nucleus, and perinuclear clear zones. Neutrophil (arrowhead). Artifactual echinocytes also visible (not marked). Canine.

Leave a comment