Nucleated Red Blood Cells

nRBC Comparison 3 (nRBC + Lymphocytes)
Nucleated red blood cells (top row) compared to lymphocytes (bottom row). A: metarubricyte (bovine). B: metarubricyte (canine). C: metarubricyte (porcine). D: rubricyte (porcine). E: lymphocyte (bovine). F – H: lymphocytes (equine).

Metarubricyte: most mature form of nucleated red blood cell (nRBC). Nuclei are small and pyknotic, often eccentric, with condensed (smooth dark) chromatin. Cytoplasm is smooth and uniform and may stain red or purple. Basophilic stippling may be present.

Rubricyte: less mature forms of nRBC. Nuclei are larger and centred with chromatin more clumped than metarubricytes. Cytoplasm may stain purple or dark blue.

Look-alike: nRBC (particularly rubricytes) may resemble lymphocytes. nRBC can be distinguished from lymphocytes based on nuclear chromatin (nRBC have small pyknotic nuclei with condensed or clumped chromatin that stains dark, while lymphocytes have larger nuclei with non-condensed heterogenous chromatin that stains lighter) and cytoplasm (nRBC have smooth uniform cytoplasm staining red to purple to dark blue with ruffled or irregular borders, while lymphocytes have slightly grainy or heterogenous cytoplasm that stains dark purple to blue with smooth round borders). See images at top of page for comparison of nRBC versus lymphocytes.

Clinical relevance: nRBC are most commonly seen in dogs, cats, and camelids with strongly regenerative anemias. Less commonly associated with other conditions such as lead poisoning, abnormal splenic function, bone marrow injury. nRBC are rare in cattle and horses, even with strongly regenerative anemias.

Figure 1.2 (Erythrocyte Maturation)
Erythrocyte maturation showing rubricytes and metarubricytes. Figure 1.2 (erythrocyte kinetics) from Veterinary Clinical Pathology: An Introduction (2nd Ed, 2017) by ML Jackson, BA Kidney, and NJ Fernandez. 
nRBC 8 (Porcine 3 - Metarubricyte + Rubricyte) ARROWS
Rubricyte (arrow) and metarubricyte (arrowhead). Poikilocytosis, rouleaux, and platelets also visible (not marked). Porcine (iron deficiency anemia).
nRBC 1 (Bovine 1 - Metarubricyte + Rubricyte) ARROWS
Rubricyte (arrow) and two metarubricytes (arrowheads). Basophilic stippling present in metarubricytes and some normal erythrocytes. Polychromatophil also visible (not marked). Marked anisocytosis. Bovine (regenerative anemia).
nRBC 9-10 (Feline 1-2 - Megaloblastic Rubricyte) ARROWS
Megaloblastic rubricytes (arrows). Ghost cells, polychromatophils, and platelets also visible (not marked). Megaloblasts are immature erythrocytes undergoing abnormal development and are associated with myelodysplastic syndromes. Feline.
nRBC 16 (Canine 5 - Metarubricyte) ARROWS
Metarubricyte (arrow). Howell-Jolly bodies (arrowheads). Canine.
nRBC 3 (Canine 2 - Metarubricyte, Iron Deficiency, Chronic Blood Loss) ARROWS
Metarubricyte (arrow). Marked hypochromasia. Canine (iron deficiency anemia secondary to chronic blood loss).
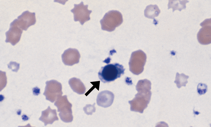
nRBC 5 (Porcine 1 - Metarubricyte, Iron Deficiency Anemia) ARROWS
Metarubricyte (arrow). Rouleaux and platelets also visible (not marked). Porcine (iron deficiency anemia).
nRBC 6 (Porcine 2 - Metarubricyte, Iron Deficiency Anemia) ARROWS
Metarubricyte (arrow). Platelets also visible (not marked). Porcine (iron deficiency anemia).
nRBC 13 (Canine 4 - Metarubricyte, Iron Deficiency Anemia) ARROWS
Metarubricyte (arrow). Polychromatophil (arrowhead). Moderate hypochromasia. Canine (iron deficiency anemia).
nRBC 14 (Feline 3 - Metarubricyte) ARROWS
Metarubricyte (arrow). Feline.
nRBC 15 (Feline 4 - Metarubricytes) ARROWS
Metarubricytes (arrows). Feline.
nRBC 4 (Canine 3 - Metarubricyte, Regen Anemia) ARROWS
Metarubricyte (arrow). Two mature neutrophils and one band neutrophil (arrowheads). Marked anisocytosis. Canine (regenerative anemia).
nRBC 2 (Canine 1 - Metarubricyte vs Lymphocyte) ARROWS
Metarubricytes (arrows). Lymphocyte (arrowhead). Neutrophils and polychromatophils also visible (not marked). Moderate anisocytosis. Canine (regenerative anemia).

Leave a comment