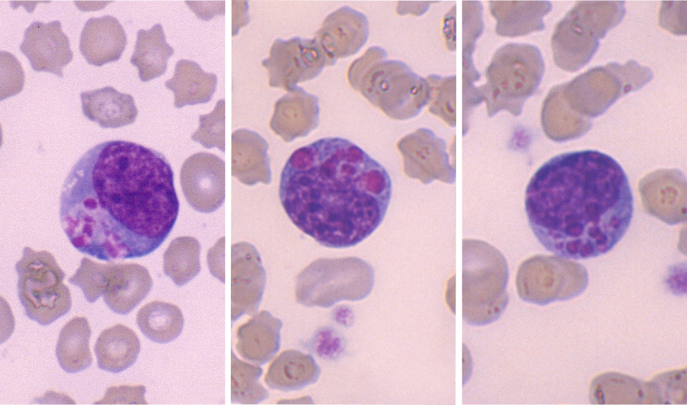
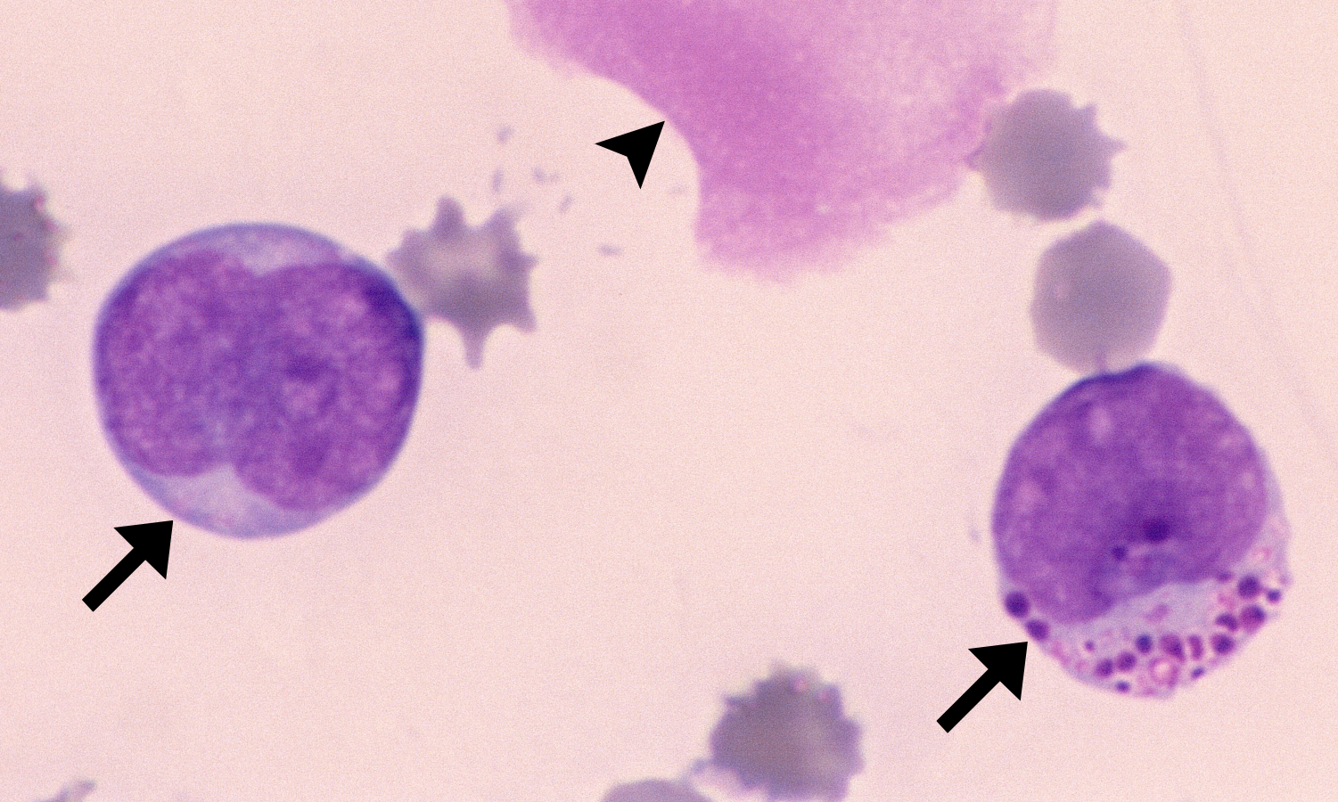
LGL

Large granular lymphocytic leukemia (LGL): rare form of leukemia secondary to lymphoma. Primary tumors (large granular lymphosarcoma) usually arise in the abdominal cavity (spleen, liver, GI tract, lymph nodes). Secondary leukemia may develop with increased granular lymphocytes on blood smears.


