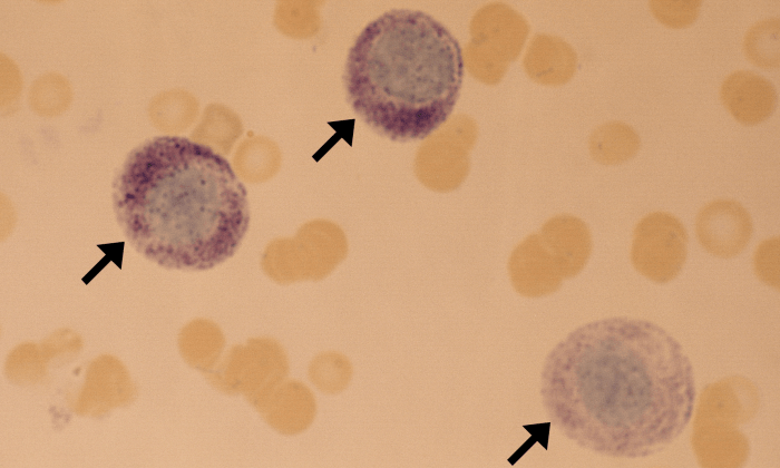
Mast Cells

Morphology: leukocyte with a large round nucleus and numerous dark purple or blue cytoplasmic granules. Usually seen at the feathered edge of blood smear. Considerable variation in appearance of mast cells.
Look alikes: other leukocytes with cytoplasmic granules (basophils, eosinophils)
Clinical relevance: not present in the blood of healthy animals. In dogs, mastocytemia (↑ mast cells in peripheral blood) may be associated with neoplasia or with non-neoplastic conditions such as allergic reactions and severe inflammation (IMHA, pancreatitis, peritonitis, pleuritis, parvoviral enteritis). In cats, the presence of mast cells in the blood is almost always associated with neoplasia. Neoplastic mastocytemia may occur secondary to solid mast cell tumors (visceral or cutaneous) or due to primary bone-marrow-derived mast cell leukemia.






