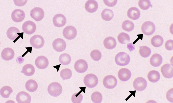
Macrocytes

Morphology: red blood cells that are larger than normal, may be hypochromic or normochromic.
Look alike: polychromatophils (also larger than normal but stain dark purple).
Commonly seen with: other features of regenerative anemia (polychromatophils, anisocytosis, basophilic stippling).
Clinical relevance: commonly associated with regenerative anemia. In horses, macrocytosis may be the only observable feature of regenerative anemia. May be normal in Poodles. Macrocytosis usually corresponds to increased mean cell volume (MCV) on CBC.

