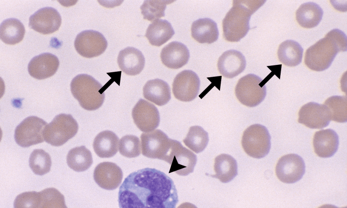
Torocytes (arrows). Monocyte (arrowhead) partially visible at bottom. Canine.
Morphology: red blood cells with increased central pallor and a normal thick rim of hemoglobin creating a “punched out” appearance.
Look alikes: codocytes (bullseye), hypochromasia (increased central pallor with thin rim of hemoglobin)
Clinical relevance: artifact with no clinical significance.
Torocyte (arrow) beside codocyte (arrowhead). Canine (DIC, regenerative anemia).Numerous hypochromic red blood cells (examples marked with arrows) showing increased central pallor with a thin rim of hemoglobin. Torocytes (examples marked with arrowheads) show increased central pallor with a thick rim of hemoglobin creating a “punched out” appearance. Normal red blood cells (stars) marked for comparison. Canine (iron deficiency).
Dr. Cathy Wagg (UCVM)
Dr. Angelica Galezowski (UCVM)
Dr. Nicole Fernandez (WCVM)
Dr. Helene Philibert (WCVM)
Ben Elwood (WCVM)
Dr. Moira Kerr (PDS)
Dr. Sherry Myers (PDS)