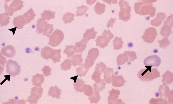
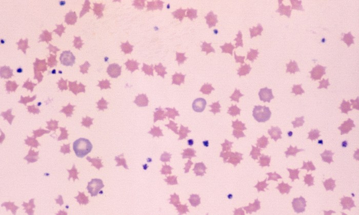
Normal Porcine Erythrocytes

Morphology: red blood cells often show artifactual crenation (sharp-pointed margins) with little to no central pallor and mild to moderate poikilocytosis.
Lifespan: 70 – 98 days
Other features: rouleaux is common. Young pigs (< 8 months of age) may have small numbers of polychromatophils, nucleated red blood cells, and Howell-Jolly bodies.


