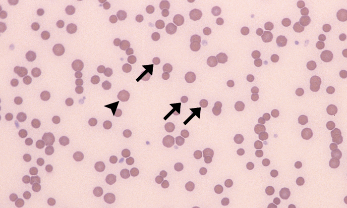
Spherocytes

Morphology: red blood cells with a spherical rather than biconcave shape. Spherocytes appear smaller than normal red blood cells, with loss of central pallor in dogs.
Look alike: microcytes (may be difficult to distinguish microcytes from spherocytes in cats, horses, and cattle due to lack of central pallor in normal red blood cells)
Commonly seen with: other features of immune-mediated hemolytic anemia (IMHA) including ghost cells, polychromatophils, and agglutination of red blood cells
Clinical relevance: large numbers of spherocytes are associated with IMHA. Spherocytes may also be observed in stored or transfused blood. Very small numbers of spherocytes in the feathered edge may not have any clinical significance. Presence of spherocytes does not usually affect mean cell volume (MCV) on CBC because cell volume is the same (cell has decreased diameter but increased roundness).



