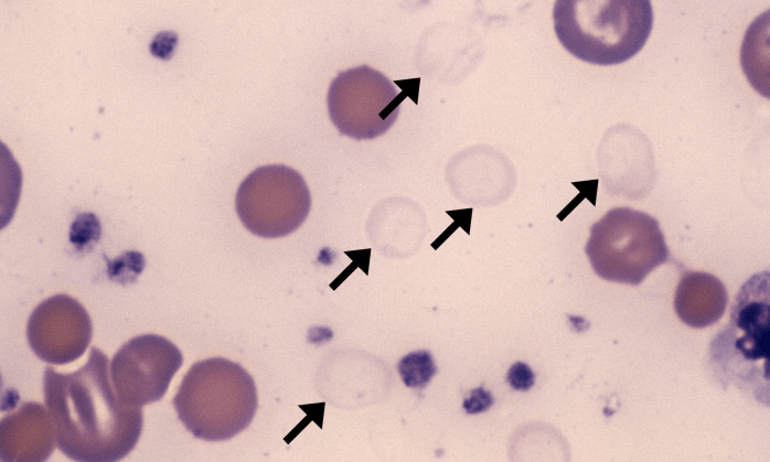
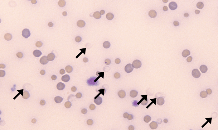
Ghost Cells

Morphology: red blood cells that stain very pale due to loss of hemoglobin through intravascular lysis.
Commonly seen with: other features of immune-mediated hemolytic anemia (IMHA) including spherocytes, polychromatophils, and agglutination of red blood cells.
Clinical relevance: indicates intravascular hemolysis. Most commonly observed with IMHA, but may also be associated with intravascular hemolysis caused by other conditions (oxidant injury, parasitemia, snake envenomation, hypophosphatemia).

