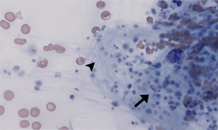
Platelet Clumps

Morphology: clusters of numerous platelets. Platelets in clumps may be granulated (non-activated) or degranulated (activated).
Look alike: clumps of degranulated platelets must be differentiated from strands of fibrin. Platelet clumps may be embedded within strands of fibrin. Fibrin appears darker and more striated than the cytoplasm of clumped platelets.
Clinical relevance: platelet activation and clumping are common during blood collection in healthy cats. Platelet clumping may occur during conditions that lead to platelet activation including clot formation (damaged endothelium), vasculitis, endocarditis, foreign bodies (stents), infectious agent (particularly viruses), and snake venom.


