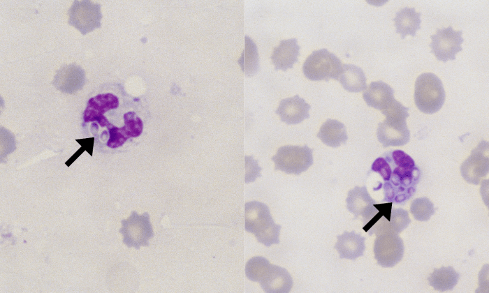
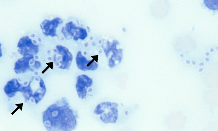
Histoplasma

Morphology: intracellular yeast-like organisms with a pseudocapsule in the cytoplasm of neutrophils and monocytes. May be 1 – 20 organisms per cell. Organisms may be present in > 25% of neutrophils and monocytes.
Look alike: Babesia
Clinical relevance: Histoplasma capsulatum is a dimorphic fungus that exists as a mycelial form in the environment and as a yeast form in a host’s body. Causes severe (often fatal) disease with variable clinical signs depending on organ systems affected (chronic GI signs most common in dogs, respiratory signs most common in cats).

