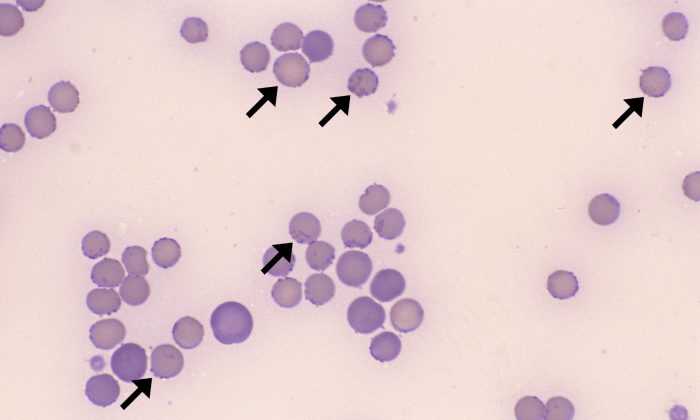
Mycoplasma

Morphology: small blue cocci, rings, or rods on the surface of red blood cells. May be observed in the background between red blood cells (bacteria fall off of red cells in blood samples > 24 hours old).
Look alikes: stain precipitate (especially with blood samples > 24 hours old), basophilic stippling
Clinical relevance: Myclopasma are epicellular bacterial parasites that infect erythrocytes of dogs, cats, cattle, and pigs. Causes hemolytic anemia.



