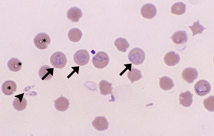
Babesia

Morphology: single or multiple pear-shaped (pyriform) organisms within red blood cells. Organisms stain dark purple around the periphery and clear in the centre.
Look alike: Histoplasma capsulatum
Commonly seen with: other tick-borne rickettsial organisms (ie. Ehrlichia, Mycoplasma, Anaplasma).
Clinical relevance: Babesia sp. are parasitic protozoa that infect erythrocytes of dogs, cats, horses, sheep, and cattle. Causes hemolytic anemia and coagulopathy (ie. disseminated intravascular coagulation).






