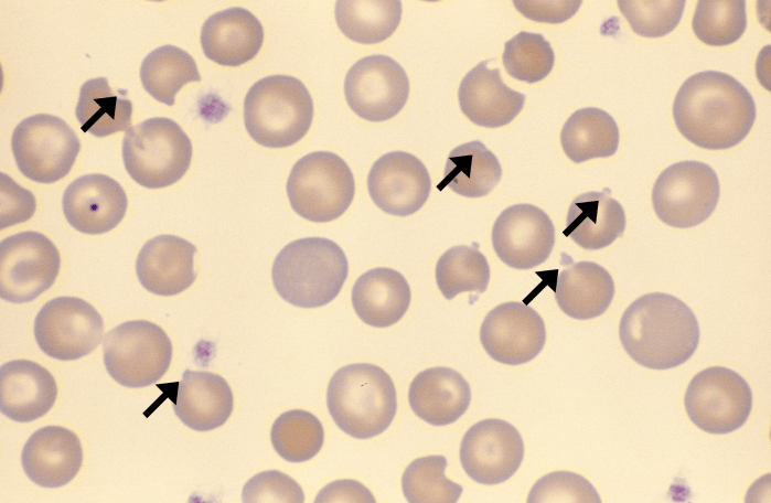
Heinz Bodies

Morphology: dense round granules at the periphery of a red blood cell. Result from oxidant injury to red blood cells which causes hemoglobin to precipitate and form intracellular inclusions.
Commonly seen with: eccentrocytes
Clinical relevance: indicates oxidant injury to red blood cells. Oxidant injury may result from certain drugs (propofol and acetaminophen in cats) or from toxins (onions, red maple leaves in horses, zinc in dogs, copper in sheep, anticoagulant rodenticide in dogs, and skunk musk in dogs).




