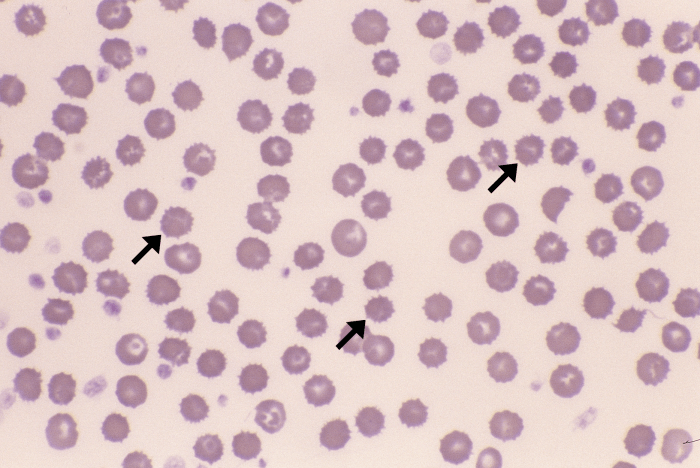
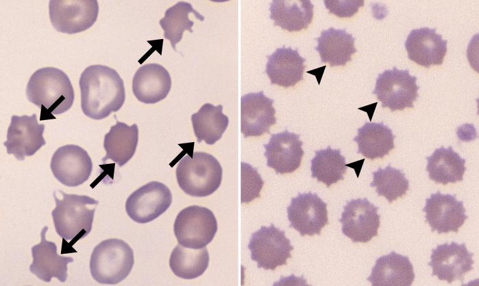
Echinocytes

Morphology: red blood cells with small, regular spicules projecting from the cell surface. Spicules are uniform in shape with sharp or blunt tips, uniform in length, and evenly spaced around the periphery of the cell.
Look alike: acanthocytes
Clinical relevance: usually an artifact with no pathological significance (stored blood, excess EDTA, increased blood pH). May occasionally be observed with certain drugs (furosemide in horses, doxorubicin in dogs and cats). May occasionally be observed with certain disorders (electrolyte depletion, glomerulonephritis, snake envenomation, burns, bee stings).

