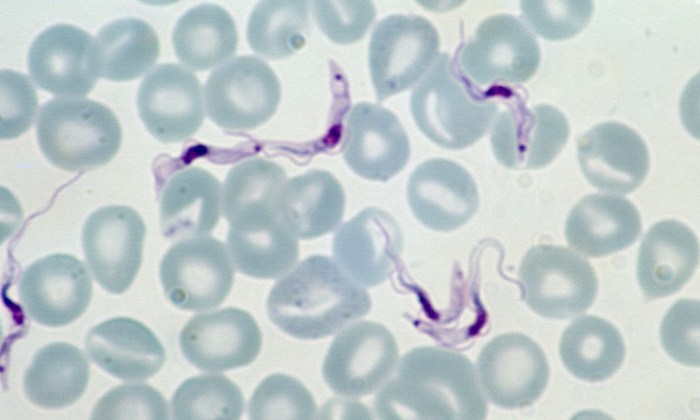
Trypanosomes

Morphology: elongated organism with undulating membrane, dark nucleus located centrally, small round purple dot (kinetoplast) located at anterior end, and flagellum extending from posterior end. Usually seen in a curved C or U shape. Some variation in appearance between Trypanosoma sp.
Look alike: microfilaria
Clinical relevance: Trypanosoma sp are parasitic flagellate protozoa that infect several domestic and wild animals. Trypanosoma cruzi infects dogs in North America and causes cardiac disease (Chaga’s disease). Trypanosoma theileria infects cattle in North America but is usually not pathogenic. Some species of Trypanosoma may cause hemolytic anemia.




1 Comment »